鲁网11月19日讯“网上都说喉癌会声音嘶哑,家里人嗓子一直好好的,怎么可能得这种病?”65岁的李先生(化名)家属得知诊断结果时难以置信。近日,李先生通过青岛市城阳区河套街道社区卫生服务中心的及时转诊正规配资十大排名,在北京大学人民医院青岛医院成功接受了喉癌微创手术,不仅完整切除了肿瘤,更保住了清晰的嗓音。
一次基层转诊,拉开排雷序幕
一个月前,李先生因持续咽痛、异物感伴颈部疼痛,走进河套街道社区卫生服务中心。尽管没有声音嘶哑这一典型症状,但接诊的青岛医院驻社区首席专家于志和主任凭借警觉,意识到情况并不简单,立即通过医共体绿色通道,联系北大人民医院青岛医院耳鼻咽喉头颈外科赛龙主任。
在北大人民青岛医院,电子喉镜清晰显示李先生右侧声带上长出了一个表面不光滑的新生物,而这正是早期喉癌的迹象!

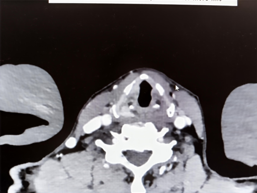
△颈部增强CT示右侧劈裂较对侧略增厚
“很多人以为喉癌必然伴随声音嘶哑,其实这是个误区。特别是声门上型喉癌,早期可能仅表现为咽痛、异物感,极易被当成普通炎症。”赛龙主任说。
确诊结果让家属深感意外,“根本没想到是癌,但更庆幸发现得早,转诊渠道通畅,治疗及时!”
一把精准雕刻刀,保住老人声音
面对这个长在发声关键部位的肿瘤,手术团队面临着根治与保功能的双重挑战。经过缜密评估,赛龙主任团队为李先生实施了“支撑喉镜下声带病损等离子切除术”。


“这就像通过口腔天然通道,用一把精密的低温雕刻刀去切除肿瘤。”赛龙主任生动地比喻,它能在高清视野下精准削除病灶,对周围健康组织损伤极小,出血少,最大程度保护发声功能。
手术非常成功。术中病理证实为早期鳞状细胞癌,且所有切缘均未见癌细胞,意味着肿瘤被完整切除。李先生术后恢复迅速,嗓音质量良好,很快就康复出院。
医共体协作,构筑健康防线
此例手术是北京大学人民医院青岛医院常态化开展喉癌微创手术的一个缩影,也充分展现了医共体建设的成效。从河套街道社区卫生服务中心的初筛与及时上转,到北大人民青岛医院的精诊与手术,再到术后青岛医院驻河套街道健康管理专员与村医的协同随访,形成了顺畅、高效的分级诊疗闭环,让居民在家门口就能享受到国家级优质医疗资源的守护。
北大人民医院青岛医院耳鼻咽喉头颈外科专家提醒,喉癌的早期信号多样,持续2-3周不缓解的咽痛、异物感、颈部疼痛,即便没有声音嘶哑,也应引起足够重视,尤其是长期吸烟饮酒的中老年男性,出现症状后需到耳鼻喉科进行专业检查。早发现、早诊断、早治疗,是战胜疾病、保留高质量生活的关键。(通讯员 刘裕)
责任编辑:刘亮亮正规配资十大排名
元鼎证券_元鼎证券正规实盘交易_十大配资平台app下载提示:本文来自互联网,不代表本网站观点。